흔히 인터넷에 떠도는 흔한 항생제 부작용은 다루지 않습니다. 정말 중요하고 확실한 부작용을 연구자료를 통해 정리해 보았습니다.
안녕하세요. 누구나 살면서 여러 번 항생제를 복용하게 됩니다.
하지만 질병을 치유하는 항생제에도 많은 부작용이 수반되기 때문에, 피해를 최소로 하는 항생제 복용법이 무엇인지 알아보겠습니다.
목차
항생제 부작용 10가지
1. 아나필락시스
2. 소화불량
3. 두통
4. 자외선에 의한
5. 음주 부작용
6. 곰팡이
7. 치아착색
8. 건염
9. 시각이상(복시)
10. 우울증


항생제는 전 세계에서 가장 일반적으로 처방되는 약물 중 일부입니다. 항생제는 바이러스와 달리 일반적으로 저절로 사라지지 않는 박테리아 감염을 치료하는 데 사용됩니다. 사실 항생제가 부작용이 존재하더라도, 의사들은 항생제를 올바르게 사용할 경우 현대 의학에서 매우 중요한 약물임에는 모두가 찬성하는데요.
모든 약물과 마찬가지로 항생제에도 부작용이 있을 수 있습니다. 하지만 대부분 항생제를 올바르게 사용하고, 의사의 지시대로 복용한다면 부작용을 최소화할 수 있어요. 
하지만, 부작용이 생긴다면 심각한 부작용을 낳을 수 있기 때문에 주의해야 하는 사항을 살펴볼게요.

1. 아나필락시스


항생제 부작용 중에서 가장 무섭고 가장 위험한 부작용 중 일부는 알레르기로 인한 아나필락시스 입니다. 일종의 알레르기 반응인데, 응급실에 바로 방문해야 할 만큼 위급한 부작용입니다. 아나필락시스가 오게 된다면 발진이나 두드러기가 발생하거나 입술이 붓거나 숨이 가빠 질 수 있습니다. 목이 부어오르는 부작용이 생기면 즉시 에피네프린을 투여해야 생명을 잃지 않기 때문에 정말 명심하셔야 해요. 물론 이러한 반응은 흔하지 않지만 아나필락시스 경험이 있으신 분은 해당 계열의 항생제를 메모해 두셔서, 의사에게 미리 알려주시면 처방에 참고를 하게 됩니다.
2. 소화 문제


존스 홉킨스 의과대학의 임상 결과에 따르면 항생제를 복용하는 환자의 가장 흔한 부작용 중 하나는 메스꺼움, 구토, 설사와 같은 위장 문제라는 것을 발표했습니다. 이러한 부작용이 생겼을 때는 충분한 수분을 섭취하고 고섬유질 음식을 피하면 항생제를 복용하는 기간에 소화 문제로 부작용을 최소화할 수 있습니다. 항생제는 장내의 좋은 박테리아를 죽이고, 나쁜 박테리아를 더 생성하기 때문에 설사를 일으킬 수 있으므로, 탈수 예방을 위해서 충분한 수분을 섭취해야 하는 것을 잊지 마세요. 항생제는 또한 소장에서 박테리아의 과증식을 유발할 수 있으며, 이는 복용을 중단한 후에도 계속되는 팽만감과 경련을 유발할 수 있어요. 장내 유산균에 좋은 음식을 챙겨 드세요. 
3. 두통


두통은 항생제를 복용하는 사람들의 또 다른 부작용입니다. 보통 이러한 두통은 심하지 않고 일시적일 경우가 많습니다. 극심한 통증을 일으키지 않는 한, 흔히 가정에 가지고 있는 두통약을 섭취하면 증상을 완화하는데 큰 도움이 됩니다.  
4. 자외선에 대한 민감성 증가


테트라사이클린, 플루오로퀴놀론 및 설파제의 항생제는 피부가 자외선에 반응하는 방식에 영향을 미칩니다. 이러한 약물을 복용하는 동안 햇빛에 노출되면 일광 화상, 물집, 벗겨짐 및 피부 세포 손상의 위험이 증가할 수 있습니다.
이러한 약물 중 일부는 햇빛과 상호 작용하여 15분 정도의 짧은 노출에도 붉고 가려운 발진을 일으킬 수 있습니다.
따라서 위와 같은 항생제 약물을 복용하는 사람들 특히 오전 10시에서 오후 2시 사이에 장기간의 태양 노출을 피하고 야외에서 시간을 보낼 경우에는 자외선 차단제와 보호복을 착용해야 합니다.  
5. 약물 부작용
항생제를 복용하면 세균 감염을 치료할 수 있지만 현재 복용하고 있는 다른 약물이 다르게 작용하여 부작용이 생길 수 있어요. 항생제와 상호 작용할 수 있는 약물에는 혈액 희석제, 제산제, 항히스타민제, 항염증제(일반 진통제 등), 건선 약물, 이뇨제, 항진균제, 스테로이드, 당뇨병 약물, 근육 이완제, 편두통 약물 등이 있습니다.
이러한 약물을 복용 중일 때에는 약사와 상담하고 복용하셔야 해요.
추가로 항생제는 알코올과도 상호 작용할 수 있습니다. 특히 메트로니다졸, 티니다졸 및 트리메도프림-설파메톡사졸 약물은 어떤 양의 알코올과도 같이 먹어서는 안 됩니다.


왜냐하면 두통, 홍조, 빠른 심장 박동, 메스꺼움 및 구토를 포함할 수 있는 불쾌한 반응을 유발할 수 있기 때문입니다.
어떠한 연구에 따르면 다른 종류의 항생제를 복용하는 동안 한두 잔의 술을 마시는 것은 큰 문제가 되지 않는다고 말해요.하지만 일부 사람들은 약물의 일반적인 부작용(예: 위장 장애 또는 현기증 )이 알코올에 의해 부작용이 생기는 임상결과가 많기 때문에 될 수 있으면 항생제를 복용하는 기간 동안에는 음주를 금하는 것이 좋습니다. 
6. 곰팡이 감염
항생제는 우리 몸의 박테리아 생태계에 큰 영향을 주기 때문에 효모 감염 및 기타 유형의 곰팡이 성장에 취약할 수 있습니다. 이러한 감염은 구강, 피부 또는 손톱이나 발톱 아래에서 발생할 수 있습니다. 항생제(특히 장기간 복용하는 경우)도 여성의 질에서 발견되는 박테리아 균형을 깨트린다는 보고가 있습니다. PH를 변화시킬 수 있고 거기에 있는 효모 감염에도 영향을 줄 수 있어요. 항생제를 복용하는 동안 항진균제를 복용하면 이러한 부작용을 예방하는 데 도움이 될 수 있지만 처방에 다른 약을 추가하기 전에 의사와 확인하셔야 합니다. 
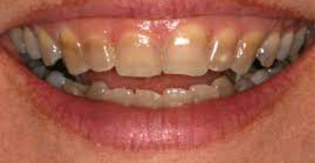
7. 치아 착색


하버드 의과대학 연구에 따르면 테트라사이클린 항생제는 영구적으로 치아를 변색을 시킬 수 있다는 보고가 있습니다.
특히 어린이 영구 치아의 변색을 유발할 수 있다고 합니다. 따라서, 1970년부터 테트라사이클린 항생제의 모든 약물에는
8세 미만의 어린이에게 사용하지 말라고 경고하는 경고 라벨이 부착되어 처방되었습니다. (임신 중에 이러한 약물을 복용하는 것은 여성 자손의 변색된 치아와도 관련이 있습니다.)
그러나 미국의 질병 통제 예방 센터(CDC)는 새로운 테트라사이클린 계열의 항생제인 독시사이클린은 이러한 부작용을 나타내지 않는 것으로 보고 되었습니다.
8. 건염


플로르퀴놀론으로 알려진 약물은 폐렴 , 기관지염 및 요로 감염과 같은 일반적인 상태를 치료하는 데 널리 사용되고 있는데요. 그러나 최근 몇 년 동안 의사들은 이러한 약물이 다른 종류의 항생제보다 더 심각한 부작용을 일으키는 것으로 조사되었습니다. 부작용 중 일부는 통증(건염), 부상(건병증) 또는 파열의 보고를 포함하여 근육과 뼈를 연결하는 힘줄의 손상을 포함합니다. FDA는 이러한 약물의 포장에 건염 및 영구적인 신경 손상의 위험에 대한 경고를 추가했습니다.
그 결과, 2016년에 FDA는 플루오로퀴놀론을 최후의 수단으로만 사용해야 한다고 조언했습니다. 
9. 시각 이상(복시)


발표된 2009년 연구에 따르면 플루오로퀴놀론 사용은 복시라고도 하는 복시와도 관련이 있다고 합니다. 연구원들은 1986년과 2009년 사이에 플루오로퀴놀론 사용자들 사이에서 171건의 복시를 발견했으며, 약물 시작과 증상 시작 사이의 평균 시간은 9.6일이었습니다. 이러한 유형의 항생제는 또한 건염과 관련이 있기 때문에 연구원들은 눈 주위 근육의 통증과 뻣뻣함이 이 추가 부작용의 원인일 수 있다고 이론화했습니다. 또 다른 원인을 배제하기 위해 이 증상을 보이는 환자에 대해 철저한 시력 검사와 신경학적 검사를 받아야 한다고 합니다. 
10. 우울증과 불안


플루오로퀴놀론은 페니실린 및 기타 계열 약물과 함께 우울증 및 불안과 관련이 있습니다. 미국의 2015년 연구 에 따르면 평생 동안 항생제를 더 많이 복용할수록 우울증과 불안을 겪을 가능성이 더 높아졌다고 발표했습니다. 이유는, 항생제가 신체의 미생물의 구성을 변화시켜 신경학적 경로, 신진대사 및 면역에 영향을 미칠 수 있다고 합니다. 따라서, 이 모든 것이 사람의 정신 건강에 영향을 미칠 수 있습니다. 따라서, 항생제가 필요할 때만, 그리고 의사의 지시에 따라 복용해야 하는 가장 큰 이유입니다.
댓글